Los médicos tuvieron que extraerle al adolescente varios dientes incisivos. Estadísticas de Estados Unidos alarmantes.
Mientras los especialistas de la salud siguen debatiendo sobre los efectos nocivos de los cigarrillos electrónicos, cada vez se registran más episodios en los que este tipo de dispositivos causan graves lesiones a sus dueños debido a explosiones espontáneas.
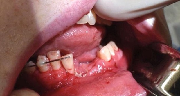
Así le sucedió a un joven de 17 años de Nevada, EE.UU., que sufrió numerosas heridas, perdió varios dientes e incluso sufrió una fractura de mandíbula al estallarle un vaporizador portátil en la boca. El caso, ocurrido el año pasado, fue reportado este miércoles por la revista The New England Journal of Medicine.
Los médicos tuvieron que extraerle al adolescente varios dientes incisivos después de que sus encías resultaran destruidas, explicó al portal Live Science la cirujana Katie Russell, quien atendió al afectado en la sala de emergencias de un hospital de la ciudad de Salt Lake City.
Para estabilizar su hueso mandibular, los facultativos le colocaron un arco de ortodoncia debajo de las encías inferiores, pero pese a ello la boca no se cerraba de manera correcta, por lo que decidieron mantenerle la mandíbula cerrada durante seis semanas fijándola con alambres para evitar cualquier movimiento que pudiera comprometer la recuperación.
De acuerdo con un estudio publicado en 2018, solo entre 2015 y 2017 se registraron en EE.UU. más de 2.000 casos de lesiones provocadas por este tipo de explosiones. En febrero de este año, un joven estadounidense falleció tras estallarle en la cara un cigarrillo electrónico que acababa de comprar.
Cadena de los Andes Diario Digital de Noticias – Teléfono (02945) 15515701 – Email: cadenadelosandes@gmail.com
